수술&시술환자

15,450

2026년 4월 기준

CHAHOSPITAL

관절클리닉

어깨관절질환


어깨관절질환

어깨관절질환은 어깨 부위에 발생하는 다양한 문제를 포함하며 조기에 진단하고 치료하는 것이 중요합니다.

어깨가 아픈 원인은 여러 가지가 있으며 그 진단과 치료도 각각 다르기 때문에 단순히 어깨 통증으로만 생각하지 마세요.
정확한 진단을 받은 후 이에 따른 적절한 치료와 재활 요법이 병행되는 것이 바람직합니다.

CHAHOSPITAL

주요 증상

팔을 들거나 회전시키는 동작에서 제한이 생기며, 특히 어깨를 높이 올릴 때 어려움.
팔이나 손에 저림이 느껴질 수 있으며, 힘줄이 손상되면서 팔의 근력 약해짐.
밤에 누워 있을 때 통증이 심해지며 어깨 쪽으로 누우면 불편함.
어깨가 뻣뻣해지는 느낌이 들며, 움직임이 제한됨.

CHAHOSPITAL

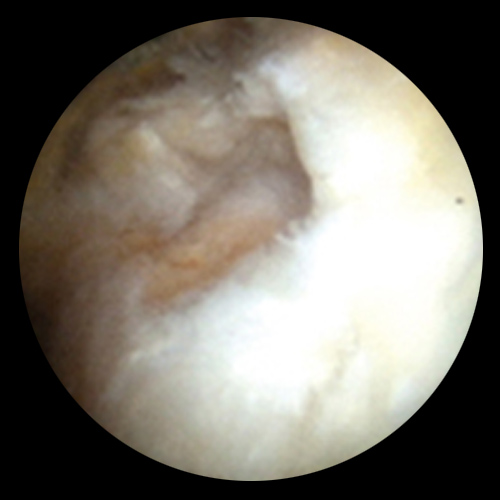
관절내시경

원인을 확인하고 치료한 뒤, 회복 과정까지 함께 살펴봅니다.

관절내시경은 작은 절개를 통해 초소형 카메라와 특수 기구를 관절 내부에 삽입하여 손상 부위를 직접 확인하고 치료하는 방법입니다.
어깨, 무릎, 발목 등 다양한 관절에 적용되며, 진단과 치료를 동시에 시행할 수 있는 최소침습 수술입니다.

오십견

CHAHOSPITAL

주요 증상

어깨의 통증이 지속적으로 발생하며, 특히 어깨를 움직일 때 통증이 심해짐.
어깨의 운동 범위가 줄어들어 팔을 들어 올리거나 뒤로 젖히는 동작이 어려워짐.
어깨가 뻣뻣하게 느껴지며, 특히 아침에 일어날 때 더 두드러질 수 있음.
증상이 서서히 진행되며, 초기에는 통증이 주로 나타나고 이후에는 움직임의 제한됨.

차병원에서는 전문성 높은 재활 시스템으로 1:1 개인 맞춤형 재활로 빠른 회복을 도와드립니다.
또한 어깨관절이 더 이상 굳지 않게 평소 어깨 운동을 많이 해주며, 운동 시 통증을 느끼며 적극적인 물리치료나 어깨 주사치료와 체외충격파 치료를 진행합니다.

어깨충돌증후군

CHAHOSPITAL

주요 증상

팔을 들어 올릴 때 통증이 심함.
팔을 들어 올리거나 회전시키는 동작에서 제한이 생기며, 특정 방향으로 움직일 때 불편함.
어깨가 뻣뻣하게 느껴지며, 움직임이 제한됨.

단순한 어깨 충돌 증후군은 꾸준한 운동 재활만으로도 충분히 치료될 수 있습니다.
다만, 회전근개 손상이 동반되었고 그 손상이 만성적인 경우, 운동 재활 후에도 증상 호전이 없다면 수술적 치료를 고려할 수 있습니다.
차병원은 손상된 조직 부위를 정리하고, 만약 파열된 부분이 있다면 이를 봉합해주는 시술을 시행합니다.